Рус
icon
icon
7:00 - 20:00
Горячая линия для клиентов
0 800 217 887
Консультация врача для клиентов
0 800 219 696
Горячая линия для врачей
0 800 752 180
Горячая линия для клиентов
icon
0 800 217 887
7:00 - 20:00
Консультация врача для клиентов
icon
0 800 219 696
7:00 - 20:00
Горячая линия для врачей
icon
0 800 752 180
7:00 - 20:00
Многоканальный телефон для жителей города Киев

Хронические лимфопролиферативные болезни (ХЛПЗ)

12.09.2017
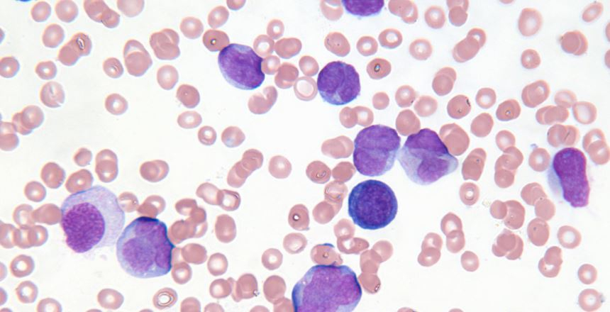
Фото - Хронические лимфопролиферативные болезни (ХЛПЗ)

Хронические лимфопролиферативные болезни (ХЛПЗ) объединяют группу биологически различных опухолей. Самая распространенная форма лимфопролиферативных заболеваний в мире по данным ВОЗ - хронический лимфолейкоз. Большинство больных - люди пожилого возраста; мужчины болеют в 2 раза чаще. В современной медицинской практике выделяют несколько форм хронического лимфолейкоза (ХЛЛ). От формы заболевания зависит выбор терапии,ее эффективность, прогноз заболевания.

С 1.07.2017г в МЛ Дела внедрено инновационное исследование «Иммунофенотипирование лимфопролиферативных заболеваний (проточная цитометрия). Это комплексное исследование включает 22 показателя и общий анализ крови (ОАК).
Важно: ХЛЛ всегда протекает с привлечением периферической крови, поэтому материалом для первичного исследования может быть венозная кровь. Для выявления подвариантов ХЛЛ используется экспрессия моноклональных антител, рекомендованных Британской комиссией по стандартизации в гематологии **: CD5, CD19, CD20, CD10, CD23, CD22, CD16, CD56, CD3, CD4, CD8, FMC7, CD103, CD25, CD11с, CD7 и CD79b.

Показаниями для проведения исследования являются:
Обнаружение в периферической крови абсолютного и относительного лимфоцитоза
 
Пороговый уровень лимфоцитоза, при котором считается необходимым проводить диагностическое иммунофенотипирование - 5х109 / л-55% при общем количестве лейкоцитов 9х109 / л

Иммунофенотипирование методом проточной цитометрии позволяет:

  • установить наличие моноклональной пролиферации лимфоцитов
  • определить «иммунофенотипный» портрет клеток опухоли
  • оценить количество остаточных клеток опухоли после проведения терапии

Иммунофенотипирование методом проточной цитометрии используется:

для разграничения реактивных и опухолевых состояний, постановки точного диагноза при различных лимфопролиферативных состояниях, в диагностике таких заболеваний, как:

I периферической В-клеточной лимфоме:
a. В-клеточный хронический лимфолейкоз / лимфома из малых лимфоцитов.
б Лимфома из мантийных клеток.
с Фолликулярная лимфома.
д. В-клеточная лимфома маргинальной зоны.
е Волосатоклеточный лейкоз
II Периферические Т / NК-клеточные лимфомы.
III Реактивный / неопухолевой лимфаденит
IV Лейкемоидные Реакции

 А также для мониторинга эффективности терапии данных заболеваний.


Интерпретация результата:

Иммунофенотипирование методом проточной цитометрии, на сегодняшний день, является «золотым стандартом» в диагностике хронического лимфолейкоза в мире и позволяет определить - CD-кластеры на поверхности лимфоцитов
Различные формы ХЛПЗ имеют соответствующий подвариантам заболевания "портрет" экспрессии специфических антигенов. В выводах к исследованию описывается иммунологическая характеристика лимфоидной популяции с подтверждением соответствия полученной фенотипа подварианту заболевания.

Скачайте наши приложения
для iOS и Android
Закажите вызов медсестры на дом
Додано до кошика