26-27 апреля 2018 года в г. Киев в «Ramada Encore Kiev» по адресу: Столичное шоссе, 103, состоялся международный форум «Современные вопросы акушерства и гинекологии». В рамках партнерства от МЛ ДIЛА приняли участие 15 врачей из разных регионов страны.
В выставочной зоне можно было ознакомиться с информационными материалами по последним разработкам МЛ ДIЛА: «Трихомоназ вагинализ», «Воспалительные заболевания женских половых органов», «Скрининг рака шейки матки», «BRCA», «Скрининг бактериального вагиноза», «Комплексное генотипирование ДНК ВПЧ 28 генотипов в полуколичественном формате методом REAL TIME», Протокол кольпоскопии и другие.
Особый интерес участников вызвали мероприятия, касающиеся практических вопросов. 26 апреля 2018 года старшим научным сотрудником отделения онкогинекологии Национального Института рака, онкогинекологом, к.мед.н. Лигирдой Н.Ф. был проведен мастер-класс «2011 IFCPC номенклатура кольпоскопических терминов. Разъяснения по практическому применению», в котором были представлены предложения от МЛ ДIЛА для:
- проведения скрининга рака шейки матки, а именно:
1. «ПАП тест методом жидкостной цитологии»;
2. «Комплексное генотипирование ДНК ВПЧ 28 генотипов в полуколичественном формате методом REAL TIME»;
3. co-test скрининга - одновременное выполнение ПАП-теста методом жидкостной цитологии и ВПЧ исследования;
4. reflex-test - при проведении ПАП теста методом жидкостной цитологии возможность дополнительного определения вируса папилломы человека в течение первых 14 дней из того же биологического материала и/или инфекций, передающихся половым путем «Скрининг 7 ИППП»;
- диагностики предопухолевой и опухолевой патологии шейки матки:
1. гистологическое исследование;
2. иммуногистохимическое определение белков р16 и Ки67.
27 апреля 18 года среди участников, ответивших на тестовые вопросы в соответствии с мастер-классом Лигирды Н.Ф. на стенде МЛ ДIЛА был проведен розыгрыш «подарочных сертификатов».
Победителями, которые получили «Подарочный сертификат» на прохождение исследования «Высокочувствительный скрининг рака шейки матки» в МЛ ДIЛА стали врачи:
- Ищенко Марина
- Сергиенко Алена
- Астахова Ольга
- Кравец Наталья
- Потешная Елена
Поздравляем победителей и желаем профессионального роста!
Ответы на проведение самоконтроля приведены ниже.
1. Какие кольпоскопические термины шейки матки рекомендуются к использованию при общей оценке шейки матки?
• удовлетворительная/неудовлетворительная кольпоскопическая картина
• адекватная/неадекватная кольпоскопическая картина
• стык многослойного плоского эпителия и цилиндрического эпителия: визуализируется полностью, частично, а не визуализируется
• зона трансформации 1, 2, 3 типа
2. Каким будет кольпоскопическое исследования при отсутствии острого воспаления, кровотечения, рубцовых изменениях и при зоне трансформации 3 типа?
• удовлетворительным
• неадекватным
• неудовлетворительным
• адекватным
3. Компонентами нормальной зоны трансформации являются:
• метапластический эпителий разной степени зрелости
• открытые железы (крипты)
• закрытые железы (Наботовы кисты)
• линия стыка
• эпителий эндометрия
4. Что является Золотым стандартом диагностики предопухолевой и опухолевой патологии шейки матки?
• цитологическое исследование
• гистологическое исследование
• ВПЧ-тестирование
• кольпоскопическое обследование
5. Какие исследования используются для скрининга рака шейки матки?
• цитологическое исследование
• гистологическое исследование
• ВПЧ-тестирование
• кольпоскопическое обследование
6. Какие возможности при выполнении скрининга рака шейки матки предлагает МЛ ДIЛА?
• co-test скрининг
• reflex test вирусом папилломы человека
• ПАП-тест методом жидкостной и традиционной цитологии
• ничего из выше приведенного
• все вышеуказанное
7. Зона трансформации шейки матки - это часть шейки матки
• с оригинальным плоскоклеточно-цилиндрическим стыком
• с новообразованной линией плоскоклеточно-цилиндрического стыка
• ограниченная с периферии оригинальным плоскоклеточно-цилиндрическим стыком, а медиально - новой линией плоскоклеточно-цилиндрического стыка
• ограниченная с периферии новообразованным плоскоклеточно-цилиндрическим стыком, а медиально - оригинальной линией плоскоклеточно-цилиндрического стыка
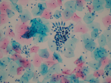
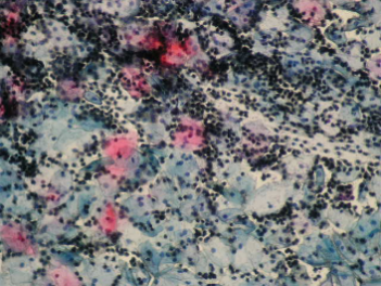
8. Препарат жидкостной цитологии это:
| • |
 |
| • |
 |
9. Чувствительность co-test скрининга (ПАП-теста методом жидкостной цитологии и ВПЧ) составляет:
• 34-89%
• 71-95%
• 82-95%
• 45-70%
10. В каком проценте случаев может встречаться HSIL и рак шейки матки при лейкоплакии и кератозе?
• 10%
• 25%
• 30%
• 45%