Пренатальний неінвазивний скринінг (NIPT) розширений:
|

Пренатальний неінвазивний скринінг (Неінвазивне пренатальне тестування – NIPT) розширений є методом визначення ризику народження плода з анеуплоїдіями, числовими аномаліями всіх хромосом і визначення дуплікації та делецій сегментів хромосом більше ніж 7Мб.
Це дослідження аналізує циркулюючу вільну ДНК (cfDNA) із зразка крові матері без ризику для плода.
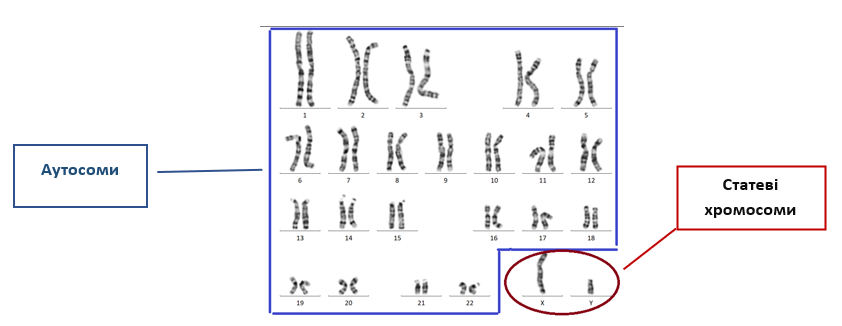
Кожна людина має 23 пари хромосом: 22 пари аутосом та дві статеві хромосоми.
МОНОСОМІЯ — це наявність лише однієї хромосоми з пари, наприклад, моносомія по Х хромосомі:

ТРИСОМІЯ — наявність додаткової хромосоми, наприклад, трисомія по 21 хромосомі:

Пренатальний неінвазивний скринінг Ninalia Genomewide Complete (NIPT розширений) дозволяє отримати інформацію по ризику аномалій усіх аутосом + хромосомного дисбалансу понад 7 Мб, визначити стать плода, а також анеуплоїдії статевих хромосом.
Яка використовується технологія?
Illumina – світовий лідер у галузі секвенування ДНК для неінвазивного скринінгу основних хромосомних аномалій.
Новий метод VeriSeq, запропонований Illumina, дозволяє виконувати скринінг на всі хромосоми, а також делеції та дуплікації більше ніж 7 Мб для ще більш комплексного ведення вагітності.
Яка чутливість та специфічність при визначенні патології?
| Одноплідна вагітність | Трисомія 21 | Трисомія 18 | Трисомія 13 |
| Чутливість | > 99,9% | > 99,9% | > 99,9% |
| Специфічність | 99,9 % | 99,9 % | 99,9 % |
| Двійня | Трисомія 21 | Трисомія 18 | Трисомія 13 |
| Чутливість | 96,4% | 95,7% | 93,6% |
| Специфічність | 99,9 % | > 99,9 % | > 99,9 % |
| Виявлення анеуплоїдії аутосом (окрім Т21, Т13, Т18) | Виявлення хромосомного дисбалансу більше ніж 7Мб | ||
| Чутливість | 96,4% | Чутливість | 74,1% |
| Специфічність | 99,8 % | Специфічність | 99,8 % |
| Відсоток відповідності для аномалій статевої хромосоми | |||
| XO | 90,5% | XXY | 100 % |
| XXX | 100 % | XYY | 91,7 % |
Крок за кроком